Skip to content Skip to sidebar Skip to footer

Respiratory Bronchiolitis Interstitial Lung Disease Long Term Outcome

Respiratory Bronchiolitis Interstitial Lung Disease Orphanet Journal Of Rare Diseases Full Text

Respiratory Bronchiolitis Interstitial Lung Disease Orphanet Journal Of Rare Diseases Full Text

Respiratory bronchiolitis interstitial lung disease long term outcome. Respiratory bronchiolitisinterstitial lung disease. Few cases have been reported in the literature and no studies have been carried out on the effect of treatment which currently consists of smoking cessation with or without corticosteroids. A clinicopathologic study in current smokers ex-smokers and never-smokers.

To improve the long-term survival of patients with ARS-ILD novel therapies beyond CS and IS that can prevent refractory fibrosis progression and AE development are required. Respiratory bronchiolitis associated interstitial lung disease RB-ILD is a recently described clinicopathological entity that occurs almost exclusively in current heavy cigarette smokers. And include in order of frequency central bronchial wall thickening 90 peripheral bronchial wall thickening 86 centrilobular.

Respiratory bronchiolitis-associated interstitial lung disease. Portnoy J Veraldi KL Schwarz MI et al. Respiratory bronchiolitis-interstitial lung disease.

McWilliams AM Lake FR. Treatment is smoking cessation. Portnoy J Veraldi KL Schwarz MI Cool CD Curran-Everett D Cherniack RM King TE Jr Brown KK.

Respiratory bronchiolitis-interstitial lung disease. The majority of published reports consider RB-ILD to be a nonprogressive ILD that clinically improves with smoking cessation and antiinflammatory treatment. Portnoy J et al.

It is a form of idiopathic interstitial pneumonia associated with smoking. Respiratory bronchiolitisassociated interstitial lung disease RBILD is a syndrome of small airway inflammation and interstitial lung disease occurring in smokers. Article PubMed Google Scholar 14.

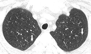
The clinical and physiologic features of respiratory bronchiolitis RB-interstitial lung disease ILD have been previously described. In a subset of patients however this is the only pathologic finding and seems to account for clinical interstitial lung disease.

Pdf Respiratory Bronchiolitis Interstitial Lung Disease

Pdf Respiratory Bronchiolitis Interstitial Lung Disease

Smoking Related Interstitial Lung Diseases

Smoking Related Interstitial Lung Diseases

Respiratory Bronchiolitis Interstitial Lung Disease Orphanet Journal Of Rare Diseases Full Text

Respiratory Bronchiolitis Interstitial Lung Disease Orphanet Journal Of Rare Diseases Full Text

Http Journal Chestnet Org Article S0012 3692 15 38879 6 Pdf

Http Journal Chestnet Org Article S0012 3692 15 38879 6 Pdf

Respiratory Bronchiolitis With Interstiatial Lung Disease In Rbild Download Scientific Diagram

Respiratory Bronchiolitis With Interstiatial Lung Disease In Rbild Download Scientific Diagram

Pdf Respiratory Bronchiolitis Associated Interstitial Lung Disease An Unexpected Form Of Idiopathic Interstitial Pneumonia In A Young Male Semantic Scholar

Pdf Respiratory Bronchiolitis Associated Interstitial Lung Disease An Unexpected Form Of Idiopathic Interstitial Pneumonia In A Young Male Semantic Scholar

Respiratory Bronchiolitis Interstitial Lung Disease Radiology Case Radiopaedia Org

Respiratory Bronchiolitis Interstitial Lung Disease Radiology Case Radiopaedia Org

Respiratory Bronchiolitis In A Patient With Respiratory Bronchiolitis Download Scientific Diagram

Respiratory Bronchiolitis In A Patient With Respiratory Bronchiolitis Download Scientific Diagram

Evaluation Of Clinical Presentation And Outcome Of Patients With Respiratory Bronchiolitis Associated Interstitial Lung Disease Pulmonology

Evaluation Of Clinical Presentation And Outcome Of Patients With Respiratory Bronchiolitis Associated Interstitial Lung Disease Pulmonology

Smoking Related Interstitial Lung Disease 23 01 2015

Smoking Related Interstitial Lung Disease 23 01 2015

Smoking And Interstitial Lung Diseases European Respiratory Society

Smoking And Interstitial Lung Diseases European Respiratory Society

Pdf Respiratory Bronchiolitis Associated Interstitial Lung Disease An Unexpected Form Of Idiopathic Interstitial Pneumonia In A Young Male Semantic Scholar

Pdf Respiratory Bronchiolitis Associated Interstitial Lung Disease An Unexpected Form Of Idiopathic Interstitial Pneumonia In A Young Male Semantic Scholar

Overlaps And Uncertainties Of Smoking Related Idiopathic Interstitial Copd

Overlaps And Uncertainties Of Smoking Related Idiopathic Interstitial Copd

High Resolution Computed Tomography Patterns Of Diffuse Interstitial Lung Disease With Clinical And Pathological Correlation

High Resolution Computed Tomography Patterns Of Diffuse Interstitial Lung Disease With Clinical And Pathological Correlation

Pdf Respiratory Bronchiolitis Associated Interstitial Lung Disease An Unexpected Form Of Idiopathic Interstitial Pneumonia In A Young Male Semantic Scholar

Pdf Respiratory Bronchiolitis Associated Interstitial Lung Disease An Unexpected Form Of Idiopathic Interstitial Pneumonia In A Young Male Semantic Scholar

Evaluation Of Clinical Presentation And Outcome Of Patients With Respiratory Bronchiolitis Associated Interstitial Lung Disease Pulmonology

Evaluation Of Clinical Presentation And Outcome Of Patients With Respiratory Bronchiolitis Associated Interstitial Lung Disease Pulmonology

Overlaps And Uncertainties Of Smoking Related Idiopathic Interstitial Copd

Overlaps And Uncertainties Of Smoking Related Idiopathic Interstitial Copd

Smoking Related Interstitial Lung Disease Radiologic Clinical Pathologic Correlation Radiographics

Smoking Related Interstitial Lung Disease Radiologic Clinical Pathologic Correlation Radiographics

Pdf Respiratory Bronchiolitis Associated Interstitial Lung Disease An Unexpected Form Of Idiopathic Interstitial Pneumonia In A Young Male Semantic Scholar

Pdf Respiratory Bronchiolitis Associated Interstitial Lung Disease An Unexpected Form Of Idiopathic Interstitial Pneumonia In A Young Male Semantic Scholar

Idiopathic Interstitial Pneumonias Springerlink

Idiopathic Interstitial Pneumonias Springerlink

An Integrated Approach In The Diagnosis Of Smoking Related Interstitial Lung Diseases European Respiratory Society

An Integrated Approach In The Diagnosis Of Smoking Related Interstitial Lung Diseases European Respiratory Society

Diagnostic Accuracy Of Transbronchial Lung Cryobiopsy For Interstitial Lung Disease Diagnosis Coldice A Prospective Comparative Study The Lancet Respiratory Medicine

Diagnostic Accuracy Of Transbronchial Lung Cryobiopsy For Interstitial Lung Disease Diagnosis Coldice A Prospective Comparative Study The Lancet Respiratory Medicine

Smoking Related Idiopathic Interstitial Pneumonia A Review 2016

Smoking Related Idiopathic Interstitial Pneumonia A Review 2016

Https Encrypted Tbn0 Gstatic Com Images Q Tbn And9gcrmbfhvzqgk Garps6y0vaxtllkjuivhmacr3mqlsx2l7bvl1ej Usqp Cau

Https Encrypted Tbn0 Gstatic Com Images Q Tbn And9gcrmbfhvzqgk Garps6y0vaxtllkjuivhmacr3mqlsx2l7bvl1ej Usqp Cau

Jcm Free Full Text Interstitial Lung Disease And Pulmonary Fibrosis A Practical Approach For General Medicine Physicians With Focus On The Medical History Html

Jcm Free Full Text Interstitial Lung Disease And Pulmonary Fibrosis A Practical Approach For General Medicine Physicians With Focus On The Medical History Html

High Resolution Computed Tomography Patterns Of Diffuse Interstitial Lung Disease With Clinical And Pathological Correlation

High Resolution Computed Tomography Patterns Of Diffuse Interstitial Lung Disease With Clinical And Pathological Correlation

Pdf Diagnosis Of Respiratory Bronchiolitis Associated Interstitial Lung Disease

Pdf Diagnosis Of Respiratory Bronchiolitis Associated Interstitial Lung Disease

Overlaps And Uncertainties Of Smoking Related Idiopathic Interstitial Copd

Overlaps And Uncertainties Of Smoking Related Idiopathic Interstitial Copd

Desquamative Interstitial Pneumonia And Respiratory Bronchiolitis Associated Interstitial Lung Disease Chest

Desquamative Interstitial Pneumonia And Respiratory Bronchiolitis Associated Interstitial Lung Disease Chest

Improving The Diagnosis Of Interstitial Lung Disease Pulmonology Advisor

Improving The Diagnosis Of Interstitial Lung Disease Pulmonology Advisor

Interstitial Lung Abnormalities Detected Incidentally On Ct A Position Paper From The Fleischner Society The Lancet Respiratory Medicine

Interstitial Lung Abnormalities Detected Incidentally On Ct A Position Paper From The Fleischner Society The Lancet Respiratory Medicine

Interstitial Lung Disease Topic Of Research Paper In Clinical Medicine Download Scholarly Article Pdf And Read For Free On Cyberleninka Open Science Hub

Interstitial Lung Disease Topic Of Research Paper In Clinical Medicine Download Scholarly Article Pdf And Read For Free On Cyberleninka Open Science Hub

Respiratory Bronchiolitis Associated Interstitial Lung Disease Insights In Ild

Respiratory Bronchiolitis Associated Interstitial Lung Disease Insights In Ild

American Thoracic Society European Respiratory Society Classification Of The Idiopathic Interstitial Pneumonias Advances In Knowledge Since 2002 Radiographics

American Thoracic Society European Respiratory Society Classification Of The Idiopathic Interstitial Pneumonias Advances In Knowledge Since 2002 Radiographics

Smoking Related Interstitial Lung Disease 23 01 2015

Smoking Related Interstitial Lung Disease 23 01 2015

Https Www Ajronline Org Doi Pdfplus 10 2214 Ajr 173 6 10584810

Https Www Ajronline Org Doi Pdfplus 10 2214 Ajr 173 6 10584810

Types Of Interstitial Lung Disease Ild

Types Of Interstitial Lung Disease Ild

Smoking Related Interstitial Lung Diseases

Smoking Related Interstitial Lung Diseases

Jcm Free Full Text Interstitial Lung Disease In Rheumatoid Arthritis Remains A Challenge For Clinicians Html

Jcm Free Full Text Interstitial Lung Disease In Rheumatoid Arthritis Remains A Challenge For Clinicians Html

Desquamative Interstitial Pneumonia Risk Factors Laboratory And Bronchoalveolar Lavage Findings Radiological And Histopathological Examination Clinical Features Treatment And Prognosis Review

Desquamative Interstitial Pneumonia Risk Factors Laboratory And Bronchoalveolar Lavage Findings Radiological And Histopathological Examination Clinical Features Treatment And Prognosis Review

Rb Ild Dad Alphabet Soup Uip Nsip Dip Ppt Video Online Download

Rb Ild Dad Alphabet Soup Uip Nsip Dip Ppt Video Online Download

The Idiopathic Interstitial Pneumonias Radiologic Clinics

The Idiopathic Interstitial Pneumonias Radiologic Clinics

Smoking And Interstitial Lung Diseases Topic Of Research Paper In Clinical Medicine Download Scholarly Article Pdf And Read For Free On Cyberleninka Open Science Hub

Smoking And Interstitial Lung Diseases Topic Of Research Paper In Clinical Medicine Download Scholarly Article Pdf And Read For Free On Cyberleninka Open Science Hub

Cureus Diagnostic Accuracy Of Multidetector Ct In Detection Of Early Interstitial Lung Disease With Its Role In Characterization

Cureus Diagnostic Accuracy Of Multidetector Ct In Detection Of Early Interstitial Lung Disease With Its Role In Characterization

Diagnosis And Treatment Of Diffuse Interstitial Lung Diseases Archivos De Bronconeumologia

Diagnosis And Treatment Of Diffuse Interstitial Lung Diseases Archivos De Bronconeumologia

Pdf Desquamative Interstitial Pneumonia And Respiratory Bronchiolitis Associated Interstitial Lung Disease

Pdf Desquamative Interstitial Pneumonia And Respiratory Bronchiolitis Associated Interstitial Lung Disease

Cryobiopsy In The Diagnosis Of Bronchiolitis A Retrospective Analysis Of Twenty Three Consecutive Patients Scientific Reports

Cryobiopsy In The Diagnosis Of Bronchiolitis A Retrospective Analysis Of Twenty Three Consecutive Patients Scientific Reports

Interstitial Lung Disease Stages Prognosis And Treatment

Interstitial Lung Disease Stages Prognosis And Treatment

Https Encrypted Tbn0 Gstatic Com Images Q Tbn And9gctq5hva2kr17re Rr1azgqwz3a82ini5cfdy Doclrh4qzfszd8 Usqp Cau

Https Encrypted Tbn0 Gstatic Com Images Q Tbn And9gctq5hva2kr17re Rr1azgqwz3a82ini5cfdy Doclrh4qzfszd8 Usqp Cau

Few cases have been reported in the literature and no studies have been carried out on the effect of treatment which currently consists of smoking cessation with or without corticosteroids.

It is a form of idiopathic interstitial pneumonia associated with smoking. The clinical and physiologic features of respiratory bronchiolitis RB-interstitial lung disease ILD have been previously described. In a subset of patients however this is the only pathologic finding and seems to account for clinical interstitial lung disease. Few cases have been reported in the literature and no studies have been carried out on the effect of treatment which currently consists of smoking cessation with or without corticosteroids. Respiratory bronchiolitis refers to a histological finding that can be often seen in heavy smokers. Symptoms include cough and breathlessness during exertion. The concept of RBILD has changed over time with the recognition that histologically and radiologically RB and RBILD are usually indistinguishable. Portnoy J Veraldi KL Schwarz MI Cool CD Curran-Everett D Cherniack RM King TE Brown KK. Respiratory bronchiolitisassociated interstitial lung disease RBILD is a syndrome of small airway inflammation and interstitial lung disease occurring in smokers.


The long-term outcome of interstitial lung disease with anti-aminoacyl-tRNA synthetase antibodies The long-term outcome of ARS-ILD was significantly better than that of IPF regardless of the presence or absence of myositis. Although the long-term survival of patients with ARS-ILD is better that of those with IPF ARS-ILD can be a progressive and fatal disease even with long-term IS therapies. It is a histological finding not a pathological description. A clinicopathologic study in current smokers ex-smokers and never-smokers. Symptoms include cough and breathlessness during exertion. And include in order of frequency central bronchial wall thickening 90 peripheral bronchial wall thickening 86 centrilobular. Respiratory bronchiolitis associated interstitial lung disease RB-ILD presenting with haemoptysis.

Post a Comment for "Respiratory Bronchiolitis Interstitial Lung Disease Long Term Outcome"