Skip to content Skip to sidebar Skip to footer

Stiff Skin Syndrome Life Expectancy

Stiff Skin Syndrome Mucopolysaccharidosis Dermatology Advisor

Stiff Skin Syndrome Mucopolysaccharidosis Dermatology Advisor

Stiff skin syndrome life expectancy. Widespread SSS and segmental SSS. There was associated hypertrichosis in 3 of 6 cases. The age at onset in our cases ranged from infancy to 6 years of age.

Pharmacological therapy patient and sta. There is very limited information about how stiff skin syndrome SSS affects a person during their teenage or adult years. Compared with widespread stiff skin syndrome limited joint range of motion occurs less than half of patients in segmental stiff skin syndrome 4.

The normal lifespan of a grown adult can be stated as 50 years if symptoms start early. This protein works in the spaces between the cells the extracellular matrix to help form elastic fibers which enable the skin ligaments and blood vessels to stretch. Biological investigations were performed in a.

Widespread SSS is more severe more common has more. For severe condition babies generally meet unfortunate and untimely death within few months. This gene gives the body instructions to make a large protein called fibrillin-1.

27 filas Stiff skin syndrome SSS is a genetic syndrome caused by changes mutations in the FBN1 gene. It can involve joints such as the knees and hips which can limit movement and cause a deformity of the limbs. Currently there are no existing treatments that can reverse the symptoms of stiff skin syndrome according to GARD.

Drawing together a team of experts in neurology immunology ophthalmology neuromuscular disease and other specialties the Stiff Person Syndrome Center is dedicated to advancing our understanding of this disease and leading the way toward more. Cardiac amyloidosis or stiff heart cannot be cured and an individual suffering from this ailment must receive a heart transplant. Based upon case reports it appears that stiff skin syndrome tends to slowly progress during childhood.

For a grown adult the normal life span of a person can be stated as 50 years. A rare slowly progressive cutaneous disease with characteristics of rock-hard skin bound firmly to the underlying tissues mainly on the shoulders lower back buttocks and thighs mild hypertrichosis and hyperpigmentation overlying the affected areas of skin.

Stiff Skin Syndrome Causes Symptoms Diagnosis Treatment Prognosis

Stiff Skin Syndrome Causes Symptoms Diagnosis Treatment Prognosis

Segmental Stiff Skin Syndrome Sss Two Additional Cases With A Positive Response To Mycophenolate Mofetil And Physical Therapy Journal Of The American Academy Of Dermatology

Segmental Stiff Skin Syndrome Sss Two Additional Cases With A Positive Response To Mycophenolate Mofetil And Physical Therapy Journal Of The American Academy Of Dermatology

Stiff Skin Syndrome Mucopolysaccharidosis Dermatology Advisor

Stiff Skin Syndrome Mucopolysaccharidosis Dermatology Advisor

Stiff Skin Syndrome Causes Symptoms Diagnosis Treatment Prognosis

Stiff Skin Syndrome Causes Symptoms Diagnosis Treatment Prognosis

Stiff Skin Syndrome Versus Scleroderma A Report Of Two Cases Springerlink

Stiff Skin Syndrome Versus Scleroderma A Report Of Two Cases Springerlink

Figure 1 From Congenital Fascial Dystrophy Or Stiff Skin Syndrome A Case Report Semantic Scholar

Figure 1 From Congenital Fascial Dystrophy Or Stiff Skin Syndrome A Case Report Semantic Scholar

Colorado Boy Jaiden Rogers Suffers Stiff Skin Syndrome Turning Him To Stone Daily Mail Online

Colorado Boy Jaiden Rogers Suffers Stiff Skin Syndrome Turning Him To Stone Daily Mail Online

Stiff Skin Syndrome Dr Alfred Ammoury

Stiff Skin Syndrome Dr Alfred Ammoury

3 Ways To Diagnose Stiff Skin Syndrome Wikihow

3 Ways To Diagnose Stiff Skin Syndrome Wikihow

Stiff Skin Syndrome Mucopolysaccharidosis Dermatology Advisor

Stiff Skin Syndrome Mucopolysaccharidosis Dermatology Advisor

Stiff Skin Syndrome Dr Alfred Ammoury

Stiff Skin Syndrome Dr Alfred Ammoury

3 Ways To Diagnose Stiff Skin Syndrome Wikihow

3 Ways To Diagnose Stiff Skin Syndrome Wikihow

3 Ways To Diagnose Stiff Skin Syndrome Wikihow

3 Ways To Diagnose Stiff Skin Syndrome Wikihow

Family Struggles To Find Answers For Boy With Rare Stiff Skin Syndrome Los Angeles Times

Family Struggles To Find Answers For Boy With Rare Stiff Skin Syndrome Los Angeles Times

A Rare Condition Is Causing A Boy S Skin To Turn To Stone What Is Stiff Skin Syndrome Live Science

A Rare Condition Is Causing A Boy S Skin To Turn To Stone What Is Stiff Skin Syndrome Live Science

Pdf Stiff Skin Syndrome Semantic Scholar

Pdf Stiff Skin Syndrome Semantic Scholar

Alamosa Boy S Rare Stiff Skin Condition Worsening Youtube

Alamosa Boy S Rare Stiff Skin Condition Worsening Youtube

Colorado Boy Jaiden Rogers Suffers Stiff Skin Syndrome Turning Him To Stone Daily Mail Online

Colorado Boy Jaiden Rogers Suffers Stiff Skin Syndrome Turning Him To Stone Daily Mail Online

Colorado Boy Jaiden Rogers Suffers Stiff Skin Syndrome Turning Him To Stone Daily Mail Online

Colorado Boy Jaiden Rogers Suffers Stiff Skin Syndrome Turning Him To Stone Daily Mail Online

Stiff Skin Syndrome Disease Malacards Research Articles Drugs Genes Clinical Trials

Stiff Skin Syndrome Disease Malacards Research Articles Drugs Genes Clinical Trials

Pdf Stiff Skin Syndrome Versus Scleroderma A Report Of Two Cases

Pdf Stiff Skin Syndrome Versus Scleroderma A Report Of Two Cases

3 Ways To Diagnose Stiff Skin Syndrome Wikihow

3 Ways To Diagnose Stiff Skin Syndrome Wikihow

9 Year Old Hoping For Solution For Rare Stiff Skin Syndrome Fox News

9 Year Old Hoping For Solution For Rare Stiff Skin Syndrome Fox News

3

3

Acromicric Dysplasia Disease Malacards Research Articles Drugs Genes Clinical Trials

Acromicric Dysplasia Disease Malacards Research Articles Drugs Genes Clinical Trials

Stiff Skin Syndrome Mucopolysaccharidosis Dermatology Advisor

Stiff Skin Syndrome Mucopolysaccharidosis Dermatology Advisor

Https Archderm Jamanetwork Com Data Journals Derm 5158 Dob80009 1351 1359 Pdf

Https Archderm Jamanetwork Com Data Journals Derm 5158 Dob80009 1351 1359 Pdf

Acid Ceramidase Deficiency Farber Disease And Sma Pme Orphanet Journal Of Rare Diseases Full Text

Acid Ceramidase Deficiency Farber Disease And Sma Pme Orphanet Journal Of Rare Diseases Full Text

Pdf Stiff Skin Syndrome Semantic Scholar

Pdf Stiff Skin Syndrome Semantic Scholar

Stiff Skin Syndrome Versus Scleroderma A Report Of Two Cases Springerlink

Stiff Skin Syndrome Versus Scleroderma A Report Of Two Cases Springerlink

Https Archderm Jamanetwork Com Data Journals Derm 5158 Dob80009 1351 1359 Pdf

Https Archderm Jamanetwork Com Data Journals Derm 5158 Dob80009 1351 1359 Pdf

3 Ways To Diagnose Stiff Skin Syndrome Wikihow

3 Ways To Diagnose Stiff Skin Syndrome Wikihow

Stiff Skin Syndrome Versus Scleroderma A Report Of Two Cases Springerlink

Stiff Skin Syndrome Versus Scleroderma A Report Of Two Cases Springerlink

Stiff Hand Syndrome Diabetic Cheiroarthropathy

Stiff Hand Syndrome Diabetic Cheiroarthropathy

Pdf Stiff Skin Syndrome Semantic Scholar

Pdf Stiff Skin Syndrome Semantic Scholar

Physical Development Lifespan Development

Physical Development Lifespan Development

Stage 4 Parkinson S Disease Life Expectancy Final Stage Parkinson S Life Expectancy

Stage 4 Parkinson S Disease Life Expectancy Final Stage Parkinson S Life Expectancy

Can Arthritis Shorten Your Lifespan

Can Arthritis Shorten Your Lifespan

3 Ways To Diagnose Stiff Skin Syndrome Wikihow

3 Ways To Diagnose Stiff Skin Syndrome Wikihow

Pdf Infantile Systemic Hyalinosis A Case Report And Review Of Literature

Pdf Infantile Systemic Hyalinosis A Case Report And Review Of Literature

Granulomatous Slack Skin Disease Disease Malacards Research Articles Drugs Genes Clinical Trials

Granulomatous Slack Skin Disease Disease Malacards Research Articles Drugs Genes Clinical Trials

Pdf Stiff Skin Syndrome Semantic Scholar

Pdf Stiff Skin Syndrome Semantic Scholar

Boy Has Stiff Skin Syndrome Simplemost

Boy Has Stiff Skin Syndrome Simplemost

Classification Of The Diseases Into Large Subgroups Download Scientific Diagram

Classification Of The Diseases Into Large Subgroups Download Scientific Diagram

Pdf Stiff Skin Syndrome Semantic Scholar

Pdf Stiff Skin Syndrome Semantic Scholar

Stiff Skin Syndrome Mucopolysaccharidosis Dermatology Advisor

Stiff Skin Syndrome Mucopolysaccharidosis Dermatology Advisor

Stiff Skin Syndrome Explained The Doctors Tv Show

Stiff Skin Syndrome Explained The Doctors Tv Show

3 Ways To Diagnose Stiff Skin Syndrome Wikihow

3 Ways To Diagnose Stiff Skin Syndrome Wikihow

Https Encrypted Tbn0 Gstatic Com Images Q Tbn And9gcqo65uyxmpsxrbtbndbka6fcr6jxjdranzidcsazonf4yiqxv 1 Usqp Cau

Https Encrypted Tbn0 Gstatic Com Images Q Tbn And9gcqo65uyxmpsxrbtbndbka6fcr6jxjdranzidcsazonf4yiqxv 1 Usqp Cau

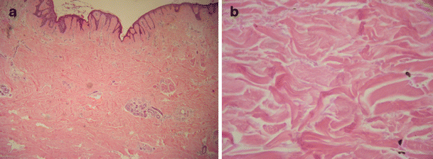
A 16-year-old boy presented with thoracic and abdominal asymmetry and orange peel cutaneous lesions with.

The age at onset in our cases ranged from infancy to 6 years of age. This protein works in the spaces between the cells the extracellular matrix to help form elastic fibers which enable the skin ligaments and blood vessels to stretch. Stiff skin syndrome SSS is a rare scleroderma-like syndrome of unknown aetiology. 27 filas Stiff skin syndrome SSS is a genetic syndrome caused by changes mutations in the FBN1 gene. The normal lifespan of a grown adult can be stated as 50 years if symptoms start early. The normal lifespan of a grown adult can be stated as 50 years if symptoms start early. By studying the genetics of a rare inherited disorder called stiff skin syndrome researchers at the Johns Hopkins University School of Medicine have learned more about scleroderma a condition affecting about one in 5000 people that leads to hardening of the skin as well as other debilitating and often life-threatening problems. The life expectancy of someone with Stiff Person Syndrome is maybe 10 years less than a healthy person. Stiff-skin syndrome SSS is a rare cutaneous syndrome characterized by stony-hard skin and limitation of joint mobility.


For severe condition babies generally meet unfortunate and untimely death within few months. It can involve joints such as the knees and hips which can limit movement and cause a deformity of the limbs. Cardiac amyloidosis or stiff heart cannot be cured and an individual suffering from this ailment must receive a heart transplant. There was associated hypertrichosis in 3 of 6 cases. Currently there are no existing treatments that can reverse the symptoms of stiff skin syndrome according to GARD. The normal lifespan of a grown adult can be stated as 50 years if symptoms start early. Life expectancy for an individual suffering from an untreated stiff heart is less than two years according to WebMD.

Post a Comment for "Stiff Skin Syndrome Life Expectancy"